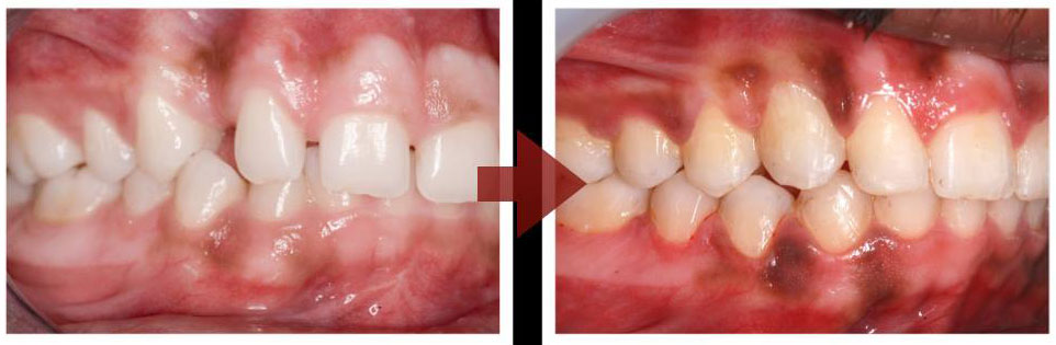
A highly motivated student decided to get his impacted canine (a canine stuck inside the jawbone) treated with Orthodontics..the journey was long but the destination was beautiful!!! Impossible is nothing!!!
Canines being the last upper teeth to erupt lose their way sometimes… |
![]() |
They can cause facial asymmetry and an unbalanced smile… |
![]() |
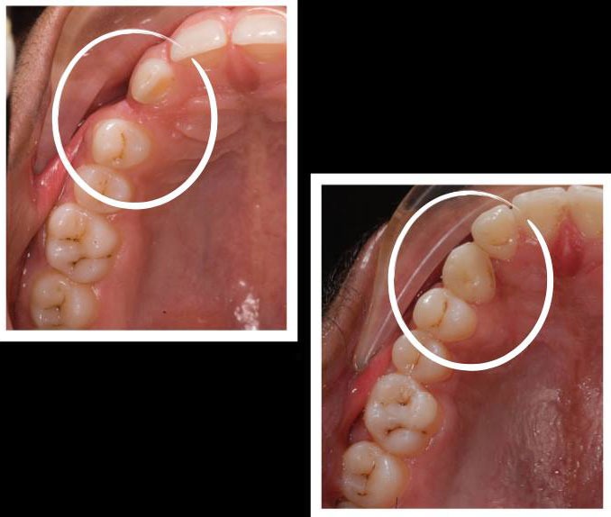
The missing Canine |
![]() |
An orthodontist can help, to get the canine back into its rightful position |
![]() |
To get a beautiful balanced smile!!! |
![]() |
Nothing’s impossible in orthodontics… |
![]() |
BDS, MDS – Orthodontics & Dentofacial Orthopaedics
Chief Orthodontist, Fort Dental Clinic, Mumbai
Dr. Arun Nayak is a leading orthodontist in Mumbai with 20+ years of experience in braces, aligners, and advanced bite correction. As the founder of Fort Dental Clinic, he is known for delivering personalized, technology-driven orthodontic care with a focus on precision and patient comfort.





