Orthodontic treatment with Invisalign has expanded dramatically over the past decade. What was once considered suitable only for mild alignment issues can now be used for complex cases—including extraction therapy. Many patients come to Fort Dental Clinic, and ask- “Can Invisalign work even if I need teeth removed?”
The answer: Yes.
Invisalign is a clear, comfortable alternative to metal braces. It uses digital planning and sequential trays to move teeth step by step. The truth is – sometimes we do remove teeth to create space. It helps align your teeth beautifully and balance your face.
I’m sharing a detailed case report involving four premolar extractions successfully treated with Invisalign.
Why Extract Premolars?
Premolar extractions are typically recommended when:
- There is severe crowding
- The patient has protrusion (teeth flaring forward)
- Facial profile improvement is desired
Invisalign can manage these goals with proper planning, anchorage control, and compliance.
To correct this dental crowding, orthodontists often remove premolars. Removing them helps create balance without changing your smile width. Extraction allows proper anterior retraction with aligners later, improving your facial profile. It also corrects bite issues and prevents teeth from pushing out or overlapping again. Every case is evaluated first with photos, X-rays and 3D scans. The goal is not removal — it’s harmony between teeth, lips and jaws.
Case Report: Four-Premolar Extraction with Invisalign
Patient Overview
- Age: 24-year-old male
- Chief Complaint: Forwardly placed teeth and malalignment
- Diagnosis:
- Upper and lower crowding
- Bimaxillary protrusion
- Proclined Anteriors & Narrow-constricted arch form
- Class I molar relationship
- Treatment Goal: Reduce protrusion, improve facial profile, align all teeth, and establish functional occlusion.
Treatment Plan
- Extraction of Four Premolars
- Upper first premolars (14, 24)
- Lower first premolars (34, 44)
- Invisalign Aligner Therapy
- Initial series: 44 aligners
- Refinement: 33 aligners
- Total treatment time: ~32 months
- Anchorage Strategy
- Optimized anchorage attachments-G6 Protocol
- SmartForce features for space closure
- Controlled retraction of anterior teeth
- Patient wore aligners 22 hours/day consistently
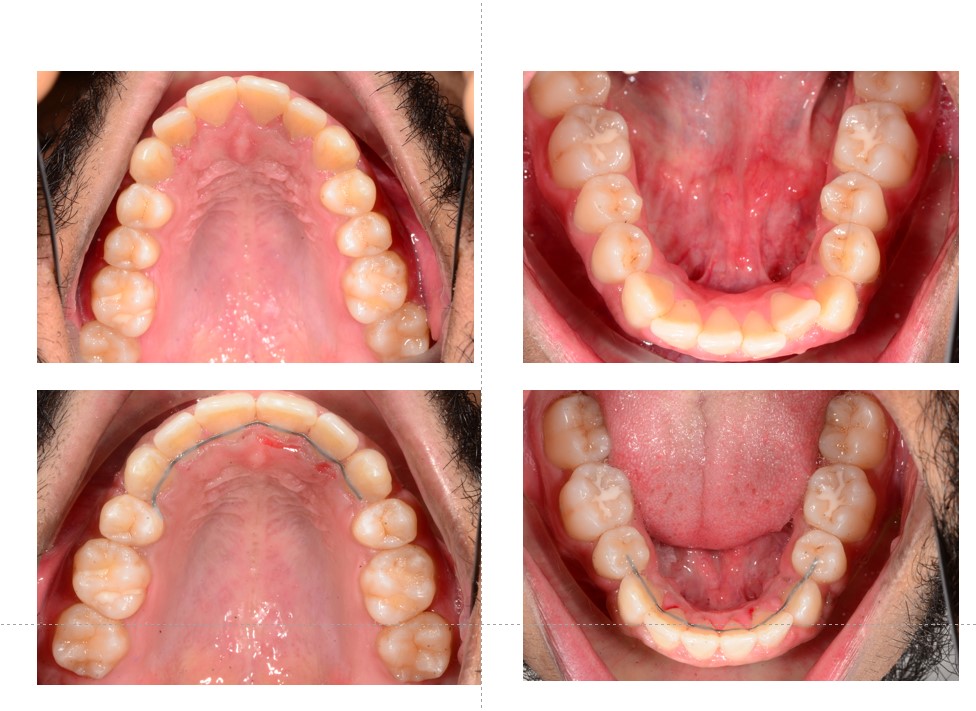
INITIAL SETUP-

PLANNED SETUP-

Stage-by-Stage Treatment Progress
After scanning & record documentation-A 3D model is generated. After that,The 3D ClinCheck software shows how your teeth will move after extraction. The aligners close the extraction gaps gradually with controlled force. The teeth will move sequentially with each tray. Each tray shifts the teeth about 0.25 mm. Smart Force attachments and elastics help in canine retraction with Invisalign, pulling teeth gently into place. In Cases for larger movements, orthodontists may use TAD-They are small anchor screws that give better control. This helps in proper incisor retraction with aligners without losing anchorage.
The result is a straighter smile, better bite and improved facial symmetry. The beauty of Invisalign is precision – each tooth moves in sequence, ensuring safety and stability.
Treatment Strategy-
- After four premolar extractions, the G6 protocol was utilized in Clinic Check for anterior retraction and space closure i.e. maximum anchorage
- G6 attachments and staging were used to retract the anterior teeth.
- Optimized Maximum Anchorage Attachments for first premolar extraction were incorporated into the plan. SmartForce aligner activation was used along with these attachments on the posterior teeth to maximize posterior anchorage.
- Optimized Retraction Attachments were used with SmartForce aligner activation to achieve bodily movement during canine retraction without using a Precision Cut in this case.No elastics were used.
- SmartForce aligner activation was applied to the incisors to minimize unwanted tipping and anterior extrusion during anterior retraction in first premolar extraction treatment.
- Staging of anterior and posterior movements was planned to occur simultaneously.
- In all quadrants, only the canines were retracted first-up to one-third of their total movement—and then the incisors were retracted en masse.
- Conventional horizontal attachments were placed on all second molars and lateral incisors, as they did not receive G6 attachments.
How Much Space Is Gained?
Tooth Movement Staging
Each premolar extraction provides around 6–7 mm of space. That’s enough to correct severe crowding or protrusion. The orthodontist divides movement into stages — first canine retraction with Invisalign, then incisor retraction aligners for front teeth. Space closure happens slowly to avoid root damage. Digital planning ensures every tooth moves in the right order. Using TAD orthodontics improves control and keeps molars steady while the front teeth retract. Gradual staging helps achieve stable occlusion and proper bite correction. Regular review appointments help track progress. Every millimeter of movement is pre-planned, safe and guided.
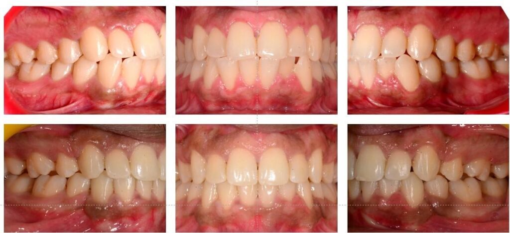
Treatment Results-Before & After
Mar’22 to Dec’24(Timeline)


Pre & Post Rx Xray’s-


Dental Improvements
- Full resolution of crowding
- Proper space closure with good root control
- Improved overjet and overbite
- Stable Class I occlusion
Facial Aesthetics
- Noticeable reduction in upper and lower lip protrusion
- Soft-tissue profile became more balanced
- Patient reported improved confidence in side-profile photographs
After premolar extraction with Invisalign, the face often looks more balanced. If your teeth were pushed forward before, retraction allows the lips to settle naturally. This creates a softer and more refined facial outline.
What This Case Shows
This case demonstrates that Invisalign, when properly planned, can effectively handle complex extraction cases, including:
- Significant crowding
- Full arch retraction
- Space management
- Profile improvement
Outcomes can be equally successful-sometimes even better in terms of comfort, visibility, and hygiene. Invisalign can treat extraction cases, even four-premolar ones. Compliance is essential-wearing aligners 22 hours/day matters. Attachments and elastics may be used to support movement. Results can dramatically improve both your smile and facial profile.
Self-Checklist – Do You Really Need Extractions?
For this you have to ask yourself:
- Are my teeth crowded or forward?
If the answer to all above is YES, then you may benefit from Invisalign extraction cases. But only your orthodontist can decide after X-rays and clinical examination.
Alternatives & Hybrid Treatment Options
Some patients don’t need extraction. The treatment plan depends on your bone, bite and smile design goals.
- Mild dental crowding can be fixed using Invisalign space closure with interproximal reduction. This means slight shaving between teeth.
- Others may use hybrid aligner treatment, combining aligners and braces.
- TAD orthodontics can sometimes replace extractions by creating anchorage for backward tooth movement.
Long-Term Stability & Retention Strategy
After premolar extraction with Invisalign, stability depends on retention. Teeth naturally tend to shift back. We use bonded retainers after extraction or clear retainers at night. Retainers hold the smile you have achieved. Good brushing, dental cleaning and night wear prevent relapse. Patients who stay consistent enjoy long-term, natural alignment for years.
Real Case Success Indicators-
At Fort Dental, successful Invisalign extraction cases show proper bite closure, midline alignment and relaxed lips. Patients feel confident eating, smiling and speaking. Facial profile improvement through orthodontics is visible within months. The smile becomes harmonious — not forced, just balanced and comfortable. Come, if you wish we will make you meet some happy smiles!
Before & After-

Questions People Usually Forget to Ask
This is a very bad myth. It only removes dental protrusion, not facial fullness.
Usually 18–30 months, depending on age. It also depends on your jaw bone type and compliance. Proper bonded retainers after extraction keep your results stable for life.
BDS, MDS – Orthodontics & Dentofacial Orthopaedics
Chief Orthodontist, Fort Dental Clinic, Mumbai
Dr. Arun Nayak is a leading orthodontist in Mumbai with 20+ years of experience in braces, aligners, and advanced bite correction. As the founder of Fort Dental Clinic, he is known for delivering personalized, technology-driven orthodontic care with a focus on precision and patient comfort.