Invisalign
Invisalign - Clear Aligners, Confident Smiles
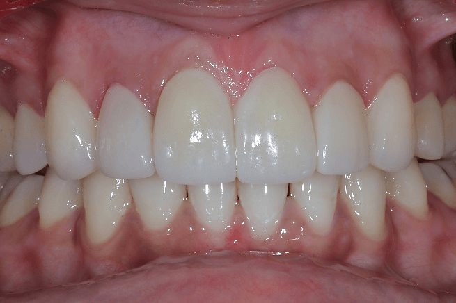
Achieve a perfectly aligned smile with Invisalign clear aligners. Our advanced Invisalign treatment offers a discreet, comfortable, and effective alternative to traditional braces for adults and teens.
or call +91 22 2261 8444 / +91 22 4964 2177
Diamond – Invisalign Provider 2025, India
Invisalign at affordable cost in Mumbai, India
Invisalign is the latest and the best alternative to braces. If one has been resisting orthodontic treatment due to thought of braces being cumbersome, this is a proven and tested alternative. Dr. Arun has been certified in the first diet of Invisalign providers in 2015 and hence has been among the foremost provider of Invisalign in India. He is currently Diamond tier Invisalign provider.
What is Invisalign?
Are you wondering how to get a PERFECT SMILE that you can be happy with? You have a gap in teeth and wondering how to fix it? You have crooked teeth? You should consider teeth straightening options. Traditional dental braces are an option. But here, we are talking about the revolutionary treatment called Invisalign. Dr Arun Nayak is India’s foremost Invisalign Orthodontist.
Invisaligners or Invisalign Braces (both misnomers) are their popular names. They are a series of clear aligners made of flexible plastic with Invisalign 3D printing. They are FDA-approved and contain no BPA, BPS, latex, or gluten. They are very thin and clear. They fit like a glove over your teeth and are an alternative to invisible braces. Your family and friends will not even notice you’re wearing them. Trimmed according to your gum line for best comfort. with a very slight Invisalign gap between tray and gum.


Invisalign Vs Braces

Invisalign is the best teeth straightening treatment for adults and children. They are better than conventional dental braces in most cases.
Why Invisalign and Not Braces?
- Invisalign aligners are almost invisible. Hardly anyone will be aware that you’re wearing these almost invisible aligners. They fit well into your daily routine. You can wear them and conduct your day-to-day interactions at work and home
- Invisalign aligners are removable. This gives you the flexibility to remove them and eat and drink what you want during treatment. When you wear Invisalign teeth don’t catch food residue. You can also remove the aligners to brush and floss as usual to preserve good oral health. Actors wearing Invisalign and Actresses wearing Invisalign find it easy to even wear it during their shoots!!!
- There are no metallic brackets or wires like normal braces and no ‘train tracks. Hence, there is no discomfort, ulcerations or broken parts piercing into gums. There are no emergencies in most cases. That means Invisalign can be very useful for even students studying abroad. Businessmen and travelling professionals can undergo treatment with convenience exactly for this reason. In most cases, these Invisalign patients can choose to come once in 6 months for their check-ups.
- And finally, Dr Arun is one of the few Doctors in India who owns an iTero. The revolutionary scanner from Invisalign. Within a few minutes, iTero helps you view your virtual results and treatment plan. You can see how your teeth will straighten out even before you begin treatment.
- Dr Arun uses the iTero ‘Invisalign time lapse feature’. This will show you exactly how your teeth have progressed in treatment. And keep you motivated through the Invisalign journey
If you are wondering what kind of dental malocclusions can be treated with Invisalign
Our answer is YES to all these questions
- Can Invisalign fix crooked teeth in children? They can also help grow the jaws
- Can Invisalign fix crooked teeth in adults? Often orthodontic treatment without any extractions.
- Can Invisalign fix gap in teeth? To fix your gaps without fillers.
- Can Invisalign fix overbite? In well-selected cases
- Can Invisalign fix underbite? In almost all cases with Invisalign underbite is rarely a concern
- Can Invisalign fix crossbite? Single tooth yes. Many teeth may need more aligners.
- Is Invisalign faster that braces? Invisalign vs Braces Which is faster? Invisalign!
- Is Invisalign worth it? It is worth it. Certainly
Our answer is a NO to all these questions
- Is Invisalign painful compared to Braces? Much lesser painful bordering on painless straightening of teeth
- Is Invisalign visible?
Invisalign Reviews
We have never found our Invisalign reviews negative. Here are few of the testimonials we have received from our patients.
Invisalign Braces Cost in India
Invisalign Lite cost
14 aligners with 1 refinement for simple cases – Rs 125,000 upwards
Invisalign Moderate cost
Treatments for moderate cases. We can have up to 26 aligners with refinements for 2 years – Rs 200,000 upwards
Invisalign Comprehensive cost
There are no limits for number of aligners and refinement up to 5 years. – Rs 275,000 upwards
Special Invisalign retainer cost (Vivera)
Rs. 35,000 for 3 sets.
We include 1 set of traditional retainers in the treatment cost.
Why is Invisalign expensive? (Invisalign vs Braces cost)
Invisalign is almost 2-3 times the cost of regular braces. Cost of Invisalign in India is high. Invisalign India imports them from USA. There is an expensive lab fee that the Doctor pays to get the Invisaligners. Invisalign in UK costs around GBP 6000. Invisalign in US costs around $9000.
You do get cheaper Invisalign alternatives. But they are not backed by either sound research or a database of treated cases. Invisalign is the pioneer in the field of aligners. Align Technology spends a high fraction of its profits into research. Their level of research is 20 years ahead of these cheaper Invisalign competitors. Hence, it is capable of dealing with complex cases. Cheaper aligners may save you money, but pick up a lot of headaches and dissatisfaction in return. They often reach a compromised end result.
Dr Arun spends a lot every year to upgrade his Invisalign knowledge and skills. This helps him to keep abreast with this rapidly-changing technology. The Invisalign Online Global gallery is a great place to look for treatments like your own. Dr Arun will also run you through his own database of treated cases. You will definitely find a case like yours amongst the hundreds of cases he has treated.
Dr Arun believes that you do teeth-straightening once in life and you need to do it in the best possible way. Invisalign results are way superior compared to that of Invisalign alternatives. The material used for trays (Smart Track) is unique and patented. The manufacturing process utilizes advanced technology (Invisalign 3D printer) for fabricating the aligners. Hence, it can deliver predictable end results.
Only certified Orthodontists offer Invisalign treatment. This ensures highest quality of delivery. A unique, globally recognized patient identification number (PID) is laser-marked on every aligner. Invisalign logo is also printed on every aligner for every patient undergoing treatment.
You can rest assured you are getting true value for your money with Dr Arun Nayak.
Can I Pay Invisalign in EMI instalments?
Dr Arun Nayak has a tie-up with Arogya finance, Mumbai. They offer a loan on basis of your credit worthiness (CIBIL and due documentation). There may be the usual processing costs. This offer is open for treatment with both Invisalign or Braces. It is a great way to make the Invisalign experience easy for the pockets. Breaking it down into Invisalign monthly costs rather than a lumpsum payment.
Is Invisalign covered by insurance?
Rarely. If you need any help with your Invisalign insurance coverage, our staff will be glad to assist you.
Invisalign for Adults
Invisalign is perfect if you lost out on an opportunity to straighten teeth in your younger days. Being invisible, it fits into lifestyles of anyone. Busy moms, jet-setting professionals and frontline corporate executives. Socialites, doctors, actors, actresses, models or even Radio Jockeys!!
Is Invisalign better than Braces?? Let’s hear it from one of our adult Invisalign users.
“Early in my journey into Invisalign I realized all my worries were unfounded. I found them convenient to wear, smooth to take off to eat meals, and thoroughly discrete!
…. Given my profession, I was hesistant to get the metallic braces and look like a teen. Invisalign bridged that gap, …”
Dr. DhanwantiRajwade, Consultant Anaesthetist


Invisalign for Teenagers (Invisalign Teen)
Parents are opting for Invisalign Teen for their children!
Invisalign Teen not only helps in straightening teeth but also helps in growing the jaws. It is possible to regain the dental spaces lost due to the early falling of the milk teeth.
Parents are often are juggling time for many classes for their kids. and find it difficult to keep their children’s braces appointments. Braces need activation every 5-6 weeks. Whereas Invisalign appointments are generally spaced 3-4 months apart. Hence its easier for parents. The child’s treatment goes uninterrupted for long duration with few dental appointments. So long as he/she is wearing Invisalign as recommended at home.
There is nothing to fret over an aligner lost or a misplaced aligner. Most times, all the child has to do wear the next one in the series a little longer. We share the digital Clincheck plan by email with the child. They love to compare their own treatment progress with the Clincheck plan.
Wearing Invisalign becomes as much as a habit as wearing spectacles!!
The Invisalign Teen aligners come with a few extra features:
- Incorporation of coloured indicators for estimating the actual wear time.
- Invisalign Mandibular Advancement Feature in selected cases
- Invisalign Eruption Compensation. It maintains space within the aligner in case any teeth are in eruption. This helps in preventing any obstruction to erupting teeth.






Getting Invisalign into your Life
- You can still be that social butterfly!!
- You can work and travel and have that one less headache in your life about scheduling to see us! Your dental treatment is happening on the go. Invisalign can be very useful for even students studying abroad. Businessmen and travelling professionals can undergo Invisalign with convenience exactly for this reason. We need to see you once in 4 months.
- Aligners are removable and help to maintain good oral hygiene. You can eat what you like without having to worry about any breakages. You can flip them off even at a restaurant table!
- Aligners do not affect your speech. Even if you are delivering a dialogue, a keynote address, or swooning your audience on radio. You can wear them and do all that!!
- They do not cause gum irritation or injury to cheeks and lips. This means that you spend less time at Dr Arun Nayak’s practice for any changes needed. That also reduces your unnecessary commuting in a fast-paced and busy life.
- And yes! An important and unavoidable situation may arise. Where you may want to remove your aligners. You can remove the trays and snap them back on whenever required.
How Invisalign Works? (Invisalign Treatment Process)
The procedure is very simple and done stepwise.
Step 1
We scan your teeth with our iTero scanner. It takes approx. 15 minutes. After the scan, if you wish to, you can have a look at your tentative Invisalign Before and After simulation. You can see Invisalign how it works for you!
Step 2
Dr Arun Nayak will then go online to the Invisalign Doctor site login aka Invisalign VIP. That is his personal Invisalign dashboard. After his Invisalign sign-in, he formulates a treatment plan. The Clincheck treatment plan is then formulated over 3-4 days. He then discusses his plan with you to get your approval. Once approved, Invisalign uses 3-D computer imaging technology and 3D Printing. It converts your Clincheck treatment into a custom-moulded series of Invisaligners. The number of Invisalign trays needed depends on your planned course of treatment.
Step 3
We will receive the Invisalign kit in approx. 2 weeks, He will generally place Invisalign attachments at the first visit. He will provide you the first set of aligners and the starter kit. He will give you verbal and printed Invisalign instructions of how to wear and maintain. You may need Invisalign accessories like Invisalign buttons, Invisalign rubber bands. Only if your plan needs it.
Step 4
You have to wear each set of aligners for the prescribed time 20-22hrs a day. You remove them only to eat, drink, brush, and floss. After you wear each set for 7-10 days as prescribed, you move to the next set. Total treatment time averages 9-15 months or more, but will vary from case to case. Generally, you will need to visit once every 3 months for check-ups. At these visits, he monitors Invisalign progress by comparing with your Clincheck plan. He may perform Invisalign IPR if required. Else he will give you your next set of aligners to ensure treatment progress.
Step 5
At the end of your set of aligners, Dr Arun Nayak will decide if you need Invisalign refinements. Refinements help to perfect teeth positions and bite further. If you need Invisalign Refinement trays or Invisalign overcorrection trays. Dr Arun will perform an iTero scan again. If we need no refinements, you’re ready to receive your Vivera Invisalign retainer. This holds your teeth in their new and improved position for 1 year to ensure stability.
Invisalign Cases
Case 1: Open Bite




Case 2: Crowding




Case 3: Class II Div 2




Case 4: Crossbite/ClassIII




Case 5: Class II Div 1/Deep Bite




Case 6: Highly Placed Canine




Case 7: Interdisciplinary




Case 8: Mixed Dentition




Benefits of Invisalign Treatment with Dr. Arun Nayak
Dr Arun Nayak has been treating Orthodontic patients since 2004. He has 22 years of delivering confident smiles. He’s among the foremost practitioners of Invisalign. Mumbai is a difficult place to commute. Hence, he offers his expertise at 5 different places in Mumbai. He has a very high success rate with a Hi-Tech appliance like Invisalign. This is because of his vast experience. He is prudent in his case selection. You can only expect genuine advice. He will recommend Invisalign only if that’s the best choice for you.
Dr. Arun Nayak's Achievements with Invisalign
- 2015: Invisalign-certified in Mumbai.
- 2015: He has attended many Study Clubs. He has been part of Invited Speaker Lectures and International Webinars on Invisalign.
- 2016: Invited by Rishi K, FM 94.3 Radio One to conduct India’s first public Interview for awareness of Invisalign.
- 2016-2017: Attended the Step-up and Future Elite Programme of Invisalign Training.
- 2017: He won Ashima Valiathan Best Clinical Paper at the Indian Orthodontic Conference. He presented clinical case series on the use of G6 Protocol of Invisalign.
- 2017: He became the first Orthodontists globally to receive Invisalign Mandibular Advancement feature.
- 2017: Key opinion leader and Speaker for Invisalign.
- 2017-2019: Invisalign Gold 2 Tier Preferred Invisalign Provider.
- 2018-2019: 2 cases accepted on the Invisalign Global Gallery. One case selected among Best cases of APAC region.
- 2019: Invited Speaker at the 54th Indian Orthodontic Conference Bhubaneshwar. He chaired India’s first panel discussion on Aligners.
- 2020: Proud owner of the iTero Flex intraoral scanner.
- 2020: Case selected in the peer-reviewed best cases of 2019 APAC.
- 2022 : Invited to Vancouver to speak at the Align Top 300 symposium on digital practice
- 2023: Invited as Global Faculty from India at the Madrid Align GFM
- 2023 : Proud owner of second Itero 5d Element scanner
- 2024 : Invited as Global faculty at the London Align GFM
- 2024 : Invited to speak at the Singapore Align APAC forum
- 2024 : Recognized as Diamond Tier provider (top 1percent)
- 2024 : Invited to launch the iTero Lumina scanner . Amongst the first Doctors to own it
- 2025: Invited as Global faculty at the Budapest Align GFM
- 2025 : Invited to speak at the Bangkok APAC forum
- 2025 : Recognized as Diamond Tier Provider
- 2026 : Invited to speak at the Align India forum for the fourth consecutive year
Contact Dr. Arun Nayak
To know more, call Dr Arun Nayak on these numbers. If you’re wondering if you can find an Invisalign dentist near me or Invisalign braces near me, here’s your answer
Pradhan Dental Centre, Nariman Point
+91 9930008950Pradhan Dental Centre, Khar
Dentart Dental Clinic, Santacruz
+91 9820222072FAQs
Smile Direct Club vs Invisalign
Invisalign vs Smile direct club is a raging issue in USA. We are not associated with Smile Direct Club
Am I the right candidate for Invisalign?
Yes, in most cases. Dr Arun will tell you if he feels that he can do your treatment better with braces. In his experience, he can treat 80 percent of Orthodontic cases with Invisalign. Age and dental health do not matter. If you have weak gums, he slows down the speed of tooth movement. Only Invisalign offers this remarkable feature. At times, Invisalign with missing teeth is also a possibility. Invisalign with crowns on teeth is also possible. Invisalign timeline can simulate various treatment plans to treat your case. Dr. Arun will show you results of each of these treatment plans. After a thorough discussion between you and Dr Arun, he will make a decision to choose the best plan.
Is this treatment painful?
During the treatment, your teeth move by application of gentle, constant force. Some people do feel temporary discomfort. Invisalign hurts few patients for initial few days of wearing a new set of aligners. They describe it as feeling “pressure”. It’s very normal. It’s actually a sign that your aligners are working well and getting you your Invisalign smile. At times, you feel that Invisalign hurts to take off. This happens with your first few sets early in treatment. That pain disappears on its own. At times, you may have any concerns or experience continued discomfort. Our team will always be there to help.
What is IPR? (Invisalign narrowing of teeth)
During treatment, Dr Arun Nayak may narrow your teeth by small amounts (0.1-0.5mm). This is to make space to straighten crooked teeth in adults and at times in children. It is a very safe, popular and scientifically-accepted way of gaining space. It is not a painful process. We will take your Invisalign consent for this right at the time of planning treatment.
Is it necessary to wear a retainer after completion of the Invisalign treatment?
Yes, it is important to wear a retainer at the end of treatment as it keeps the teeth stable in its new position. Dr Arun will direct you on the type and use of the retainer. Often, it is the last aligner tray which works like a temporary retainer. Dr Arun will guide you for long term retention options.
Are there any Invisalign side effects?
Invisalign versus Braces. There are far lesser side effects with Invisalign. Invisalign helps to preserve the health of the enamel.
Invisalign Aligners may affect your speech after they are first fitted and cause a temporary lisp. There are rare (1 in 1000) occurrences of Invisalign headaches. That too is temporary. Invisalign allergies are not known in practice. Invisalign dry mouths are also rare. We have not had any reports yet. We have found favorable results of combining Invisalign and TMJ cases. On a lighter note, in our patients wearing Invisalign, weight loss is also seen!!!
Invisalign How long does it take?
The total duration of treatment depends on the complexity of the treatment. Treatment can last between 9 and 18 months with a schedule of Invisalign 1 week per tray. During your consultation, Dr Arun can provide you with more detailed information. One thing is certain. Wearing as recommended is paramount to treatment success. Only simple cases can get away with patients wearing Invisalign only at night.
What is the smallest age of the patient that can receive Invisalign treatment?
Invisalign Comprehensive has an option of Invisalign Teen Aligners. This is the right treatment option for your child. It will take care of your child’s teeth for 5 years. Smallest age recommended is 8-9 years.
What are Invisalign food and drink restrictions?
NONE. There is no special Invisalign diet. You can take your aligners off and eat your regular food. Invisalign and alcohol, Invisalign and coffee, Invisalign and tea are fair combinations. Remember to clean your aligners under tap water to get rid of any stains. In any case, you will change your aligner sets in 7-10 days.
This applies if you’re wearing Invisalign eating out at a restaurant. Be sure to keep the aligner trays in the Invisalign case and not wrapped in a tissue. If, you made that mistake, and the waiter clears off the table with your aligners, do not worry, do not panic. Wear the next set a little longer. SIMPLE
Can Invisalign pull teeth down? Can Invisalign move molars?
Invisalign today can perform both of these complex movements. Dr Arun will be glad to show you exactly how in his own treated cases. In few cases that we treat with Invisalign overbite can be an issue. We precede these difficult movements with adjunctive orthodontic treatment to facilitate Invisalign treatment. Dr Arun shares his Invisalign tips and tricks with his peer Orthodontists. He conducts Invisalign Study clubs all over the country.
I’m pregnant. Can I wear Invisalign?
There is no restriction in wearing Invisalign when pregnant. You need not stop your treatment. You will rarely need any medications. Nothing more than a paracetamol at worst.
Can I have Invisalign without attachments?
The answer will be very case specific. Not all cases need attachments. But many cases do. Yet, Invisalign offers the flexibility of avoiding attachments on certain teeth. Dr Arun will be glad to discuss these options if need be. Your own Clincheck treatment simulation shows how Invisalign treats your case. That would be the time and place to discuss this option with Dr Arun.
Can Invisalign fix TMJ?
It can sure relieve you of your symptoms if that’s what you mean.
I’m moving out of the country for good! Can I get my treatment transferred?
That would make us sad that we won’t be able to end this beautiful Invisalign journey with you. We will make it easy for you to find an Invisalign Orthodontist in your place of relocation. All we need to do is sign an Invisalign transfer form. That will transfer your Clincheck plan with your records to your new Doctor. Simple. You may need to make extra payments to the new Doctor.
Are there any apps to help me visualize my smile?
MyInvisalign app helps in tracking your Invisalign treatment and aligner wear. This serves you reminders to change your aligner, tracks your non-wear time and reminds you to wear them back when you take it off in set times. After you have got your teeth scanned and recieved your Clincheck treatment plan, Invisalign India offers Invisalign Wide Smile view in their Clincheck. This will sync with your app on the phone and you can constantly access it. It is a great way to keep yourself motivated to reach the planned outcome.
I’ve already had Braces before? Can I now seek treatment with Invisalign?
Yes!!! We treat a large number of cases with Invisalign after braces treatment. You may have had braces long back. At times, due to natural relapse, you may land up with crooked teeth. It is easy to correct crooked teeth with Invisalign. Invisalign vs Braces which is better, you will figure out yourself.
Find Dr. Arun Nayak
If you have any further questions, you can email us on fortdentalclinic@gmail.com .
You can get an Invisalign quote before you get started with your Invisalign journey.
