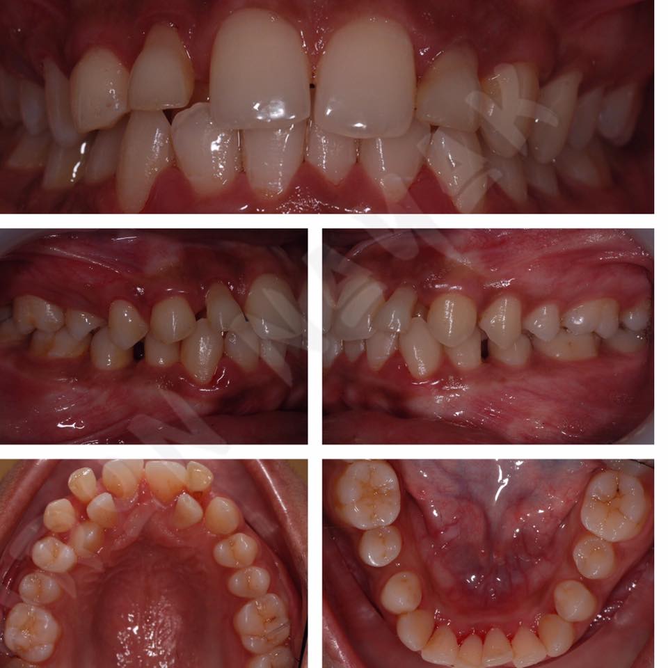
This Beautiful doctor wasn’t happy with her over retained baby teeth and 3 front teeth stuck behind! Lots of parents these days are alarmed even if 1 gets stuck behind! We could however do justice to her beauty and give her a smile she so deserved! With state of the art laser and prosthetic work.
![]() |
| The larger pictures with bigger smiles reflect her joy at the end of treatment! |
![]() |
| Pre treatment pictures |
![]() |
| This is how she eventually ended up! Kudos to her cooperation with our treatment protocols!! |
BDS, MDS – Orthodontics & Dentofacial Orthopaedics
Chief Orthodontist, Fort Dental Clinic, Mumbai
Dr. Arun Nayak is a leading orthodontist in Mumbai with 20+ years of experience in braces, aligners, and advanced bite correction. As the founder of Fort Dental Clinic, he is known for delivering personalized, technology-driven orthodontic care with a focus on precision and patient comfort.


