Milk teeth can create alignment problems of permanent teeth if they don’t fall on time, heres how and what can be done!!
Milk teeth fall when the permanent teeth below are due to emerge but sometimes they don’t!! |
![]() |
Milk teeth that don’t fall of , occupy the space of permanent teeth.Leading to unwanted crowding!!! |
![]() |
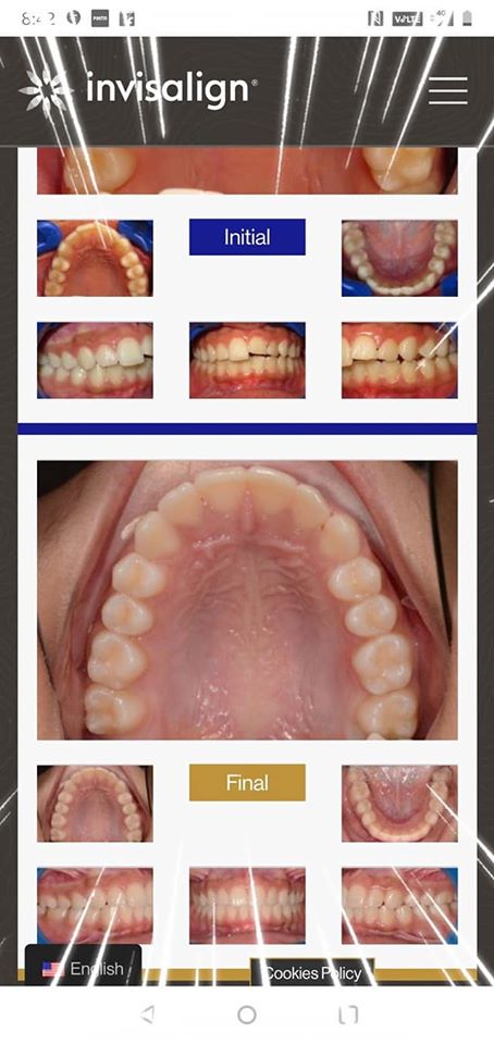
Orthodontic treatment helps to resolve such crowding |
![]() ![]() |
For lifelong corrections |
![]() |
| If your kid has a milk tooth that hasn’t fallen on time, do visit an Orthodontist: – Dr. Arun Nayak, MDS, DIBO |
BDS, MDS – Orthodontics & Dentofacial Orthopaedics
Chief Orthodontist, Fort Dental Clinic, Mumbai
Dr. Arun Nayak is a leading orthodontist in Mumbai with 20+ years of experience in braces, aligners, and advanced bite correction. As the founder of Fort Dental Clinic, he is known for delivering personalized, technology-driven orthodontic care with a focus on precision and patient comfort.




