![]() |
| Front teeth when excessively forwards are prone to trauma and at times, complete loss. |
![]() |
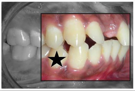
| This medical student and an aspiring Doc lived through his teens with a removable flipper to hide the missing tooth. |
![]() ![]() |
| Severe forwardness of teeth required correction with removal of 3 premolars. |
![]() |
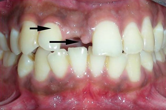
| The second incisor was brought in place of the first the canine was brought in place of the second incisor |
![]() |
| And that’s how we ended with his treatment. |
BDS, MDS – Orthodontics & Dentofacial Orthopaedics
Chief Orthodontist, Fort Dental Clinic, Mumbai
Dr. Arun Nayak is a leading orthodontist in Mumbai with 20+ years of experience in braces, aligners, and advanced bite correction. As the founder of Fort Dental Clinic, he is known for delivering personalized, technology-driven orthodontic care with a focus on precision and patient comfort.





