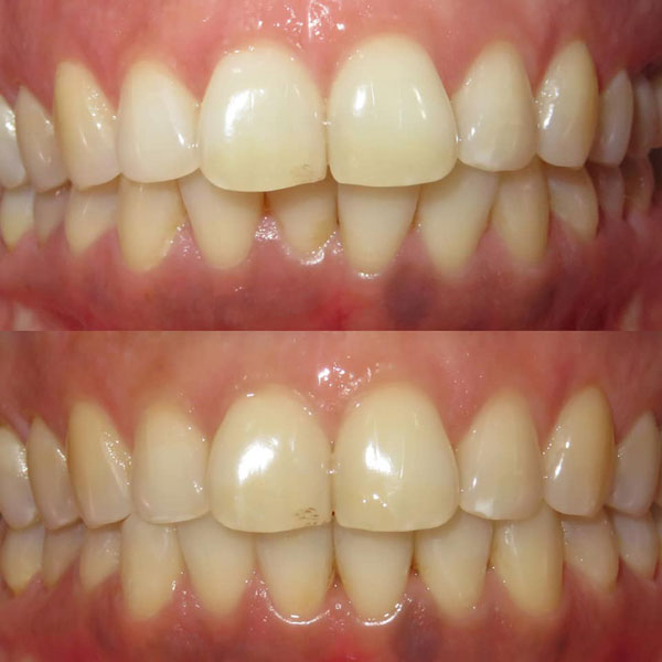
Invisalign can move anterior dental roots quite efficiently with thoughtful planning and meticulous choice and placement of the right attachments. Whether it’s a case of premolar extractions or a simple case that involves merely mesiodistal root movements. This one fell into place in less than 6 months along with the over corrections with no refinement. The lady with a super smile chose to correct only her lower crowding and got reason enough to smile even more!!!
![]() |
| Midlines spot on despite correcting only the lower teeth |
![]() |
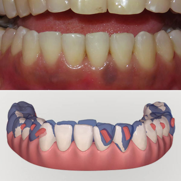
| The planned over-corrections in rotation and uprighting |
![]() |
| Choice of obliquely placed conventional attachments |
![]() |
| The superimposition |
![]() |
| The superimposition |
![]() |
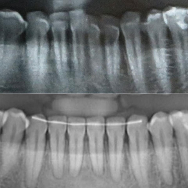
Perfect root paralleling on the X rays |
![]() |
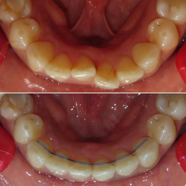
Permanent retention to hold the corrections |
BDS, MDS – Orthodontics & Dentofacial Orthopaedics
Chief Orthodontist, Fort Dental Clinic, Mumbai
Dr. Arun Nayak is a leading orthodontist in Mumbai with 20+ years of experience in braces, aligners, and advanced bite correction. As the founder of Fort Dental Clinic, he is known for delivering personalized, technology-driven orthodontic care with a focus on precision and patient comfort.






