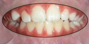
Lack of overlap of upper and lower teeth |
 |
| Open bites cause difficulty in biting |
Thumb sucking is a leading cause of open bites in kids |
 |
Orthodontic Treatment Helps |
 |
| To treat thumb sucking, To correct open bites |
For Lifelong Corrections |
 |
 |
“If your kid has thumb sucking or an incomplete bite, visit an Orthodontist” Dr. Arun Nayak – MDS |
BDS, MDS – Orthodontics & Dentofacial Orthopaedics Chief Orthodontist, Fort Dental Clinic, Mumbai Dr. Arun Nayak is a leading orthodontist in Mumbai with 20+ years of experience in braces, aligners, and advanced bite correction. As the founder of Fort Dental Clinic, he is known for delivering personalized, technology-driven orthodontic care with a focus on precision and patient comfort.